Tooth pain can quickly take over your day, making it hard to eat, sleep, or even think clearly. A bad toothache often feels like it comes out of nowhere and demands immediate attention. Instead of digging through complicated explanations, most people just want clear answers. That’s why this guide focuses on the most common causes of toothache, the reasons behind dental pain, and when it might be a sign that you need urgent care. In some cases, getting help from a professional emergency dentist is the safest and fastest way to find relief.
What are the Common Causes of Tooth Pain?
A lot of things can lead to toothache pain, but these are the main causes to watch out for:

| Cause | Signs | Fix |
|---|---|---|
| Tooth Decay | Sensitivity, cavities | Fillings |
| Gum Disease | Swollen, bleeding gums | Cleanings, treatment |
| Tooth Sensitivity | Pain with hot/cold | Desensitizing toothpaste |
| Dental Abscess | Throbbing, swelling | Root canal, drainage |
| Teeth Clenching | Jaw pain, worn teeth | Night guard |
| Impacted Wisdom Teeth | Back mouth ache, swelling | Extraction |
| Cracked Tooth | Sharp pain when chewing | Bonding, crown |
| Sinus Infection | Upper tooth pain, congestion | Decongestants |
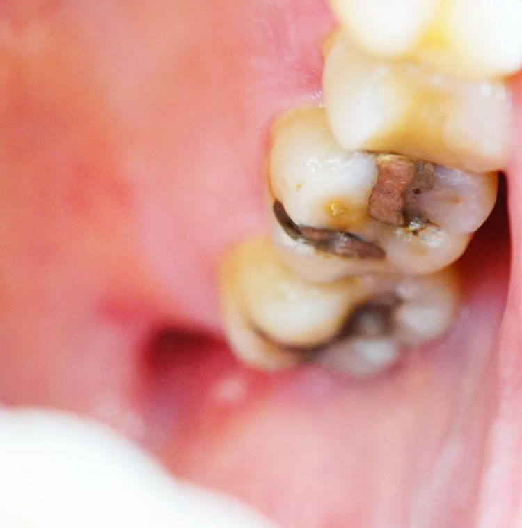
1. Cavities: The Most Common Cause of Toothache
Tooth decay is one of the most common causes of toothache, and understanding how it progresses can help you catch it early. It starts with enamel erosion, where bacteria in plaque produce acids that wear down the tooth’s hard outer layer. If untreated, decay reaches the dentin, the softer layer beneath, causing sensitivity and mild pain. Eventually, it can hit the pulp, the tooth’s inner core with nerves and blood vessels, leading to severe, throbbing pain as infection sets in. This is why cavities often cause sensitivity teeth symptoms before the pain even begins. Catching decay early is key to avoiding deeper dental work and can often be treated with a simple dental filling before the damage spreads further.

🟠Stop Decay Before It Starts
- Brush twice daily with fluoride toothpaste to strengthen enamel.
- Floss daily to remove plaque between teeth.
- Limit sugary snacks and drinks that feed bacteria.
- Visit your dentist every 6 months for cleanings.
2. Gum Disease: A Common but Overlooked Cause of Toothache
Gum disease is a leading cause of toothache, often sneaking up silently before pain strikes. It begins with gingivitis, where plaque buildup irritates gums, causing redness, swelling, and bleeding when you brush. If ignored, it progresses to periodontitis, a more serious condition where bacteria destroy the supporting bone and tissues around your teeth. This can lead to loose teeth and intense pain as nerves become exposed or infected, which is why regular professional dental cleanings are key to protecting your gums and preventing long-term issues.

⚠️Spot it early with these warning signs:
- Red, swollen, or tender gums.
- Bleeding when brushing or flossing.
- Persistent bad breath or a bad taste.
- Gums pulling away from teeth.
- Tooth sensitivity or shifting teeth.
3. Tooth Infection or Abscess: A Serious Cause of Toothache Pain
A tooth infection or abscess is a severe and urgent cause of toothache pain that demands attention. It occurs when bacteria invade the tooth’s pulp, often due to untreated decay or trauma, forming a pocket of pus at the root. This buildup presses on nerves, causing intense, throbbing pain that can spread to your jaw or ear. Left unchecked, the infection can even enter your bloodstream, making it a dental emergency.
✖️Check these telltale signs:
- Severe, constant throbbing pain that worsens with pressure.
- Swelling in your gums, face, or jaw.
- Fever or feeling unwell.
- Bad taste from pus draining into your mouth.
- Difficulty swallowing or breathing (rare but critical).
🚨Emergency Alert: Act Fast🚨
See a dentist ASAP if you notice swelling, fever, or trouble breathing; these signal a spreading infection. Delaying can lead to serious complications.
4. Cracked or Broken Tooth: A Sneaky Cause of Dental Pain
A cracked or broken tooth can be a sneaky cause of toothache pain, often catching you off guard. Trauma, like biting a hard candy, or wear over time, can damage your tooth, exposing nerves or letting bacteria creep in. The pain might start as a mild ache when chewing, but can escalate to sharp stabs if ignored. In many cases, restoring the structure with a custom dental crown is the best way to protect the tooth and stop the pain from getting worse.
Here’s what damage looks like:
- Chips: Small surface breaks, often painless at first.
- Cracks: Thin lines that may sting with hot or cold.
- Fractures: Deeper splits reaching the root, causing intense pain.
- Split Tooth: A tooth broken into pieces, often needing extraction.

📑 Self-Check Guide: Is It a Crack?
- Run your tongue over the tooth! Feel a rough edge or sharp point?
- Chew gently! Does it hurt only on one side?
- Sip cold water! Any sudden zing of pain? If yes, you might have a crack—don’t brush it off!
5. Toothache and Jaw Pain: The Role of Teeth Clenching
Teeth clenching, also known as bruxism, is a sneaky culprit behind toothache and jaw pain. Often happening unconsciously, especially at night, it wears down enamel, creating tiny micro-cracks that make teeth ache when you chew. Many patients report worse toothache at night, especially from unconscious clenching or grinding during sleep. Over time, the constant pressure can also cause referred pain, like headaches or a sore jaw, as the muscles and joints overwork. That’s why many patients find relief with a custom night guard that cushions their teeth and prevents further wear.
Clenching is often tied to stress, amplifying bruxism and tooth damage. Tight deadlines or restless nights can make you grit your teeth harder. Try this: take five deep breaths before sleep to unwind, your jaw (and teeth) will thank you.
Suffering from a Toothache? Contact Us Now!
At Leslie North Dental, we’re here to help you find the causes of your toothache and treat the problem at its root!
6. Loose or Damaged Fillings: A Common Cause of Tooth Pain
Loose or damaged fillings are a surprisingly common cause of toothache pain, turning a past fix into a new problem. Fillings can crack, wear down, or detach over time, especially after years of chewing or if decay sneaks in underneath. When this happens, nerves get exposed, food gets trapped, or bacteria invade, sparking sharp pain or sensitivity.

⚡Keep Fillings Strong
- Avoid chewing hard foods like ice or nuts on filled teeth.
- Brush gently around fillings to prevent wear.
- Rinse with water after meals to clear debris.
- See your dentist yearly to check filling health.
7. Impacted Wisdom Teeth: A Common Cause of Toothache
Impacted wisdom teeth are a common cause of toothache pain, especially for teens and young adults in their 20s. These third molars often lack space to emerge properly, getting trapped, or impacted, beneath the gums or against other teeth. This pressure can irritate nerves, inflame gums, or even damage nearby teeth, leading to nagging discomfort.

Here’s how the pain unfolds:
- Day 1: Mild ache or tightness near the back of your mouth.
- Day 3: Swelling or soreness as gums stretch or inflame.
- Day 5: Throbbing pain if infection or crowding worsens.
- Week 2: Jaw stiffness or difficulty opening your mouth.
8. Sinus Infection: A Surprising Cause of Toothache
A sinus infection might be the surprising cause of your toothache pain, even though it’s not in your teeth at all. When your sinuses, air-filled cavities behind your cheeks and forehead, get inflamed from infection (sinusitis), the pressure can radiate to your upper teeth. This happens because the roots of your upper molars sit close to the sinus floor, tricking you into feeling tooth pain.
Home Toothache Treatments for Relief
When toothache pain strikes, home treatments can offer temporary relief while you wait to see a dentist. These remedies won’t fix the root cause, like decay or infection, but they can ease discomfort and help you cope. From soothing inflammation to numbing nerves, these simple tricks target toothache relief at home. Just keep in mind: they’re short-term aids, not cures.
These quick home remedies offer toothache pain relief while you wait to see a professional.
- Saltwater Rinse: Mix 1 tsp salt in 8 oz warm water, swish for 30 seconds, then spit. It reduces swelling and cleans the area.
- Cold Compress: Wrap ice in a cloth and hold it to your cheek for 15 minutes. It numbs pain and shrinks swelling.
- Clove Oil: Dab a drop on a cotton ball and press it to the sore spot for 10 minutes. It’s natural that eugenol dulls nerve pain. Clove oil is one of the natural remedies that works best for toothache relief.
- Over-the-Counter Painkillers: Take ibuprofen or acetaminophen as directed, check labels for safety.

Conclusion
Toothaches can disrupt daily life, but understanding the cause is key to lasting relief. Common issues include tooth decay (treated with fillings), gum disease (cleanings), sensitivity (desensitizing toothpaste), abscesses (root canal), clenching (night guard), impacted wisdom teeth (Wisdom Tooth Extraction), cracked teeth (bonding or crown), and even sinus infections (decongestants). Recognizing the symptoms helps you find the right treatment and relief nearby.
At Leslie North Dental, we understand how severe a toothache can feel. Whether your pain stems from tooth decay, a tooth abscess, or other causes, our team is here to provide effective solutions personalized to your needs. Don’t let dental pain disrupt your life. Contact us today to schedule a consultation and take the first step toward a healthier, pain-free smile.
FAQs
Got questions about your toothache? We’ve got answers. Below are the most common queries patients ask, with expert insights to help you understand toothache causes and treatments.
What’s the most common cause of toothache pain?
Tooth decay tops the list, affecting over 90% of adults at some point. It starts with enamel erosion from plaque bacteria and can lead to cavities or pulp infection if untreated. Gum disease and cracked teeth are close runners-up; check our sections above for details!
Can a toothache go away on its own?
Sometimes, yes, mild sensitivity or sinus-related pain might fade with home care. But serious causes like abscesses or decay won’t heal without a dentist. If pain lasts over 2 days or worsens, don’t wait; seek emergency toothache treatment.
How can I relieve toothache pain at home?
Try a saltwater rinse (1 tsp salt in 8 oz water) to reduce swelling, a cold compress to numb the area, or clove oil for natural relief. These natural tooth pain remedies help temporarily, but see a dentist for lasting fixes. More tips in our “Home Treatments” section!
When should I see a dentist for a toothache?
Head to the dentist if you spot red flags: pain persisting over 48 hours, swelling, fever, or trouble breathing. These could signal an abscess or infection needing urgent care. Don’t risk it, get toothache relief near me fast.
Can stress cause toothaches?
Yes, indirectly! Stress often leads to teeth clenching (bruxism), wearing down enamel or straining your jaw, which triggers pain. Relax with deep breathing or a night guard, see “Teeth Clenching” above for more.
Why do my upper teeth hurt during a cold?
It might be a sinus infection pressing on your upper tooth roots, not a dental issue. Look for stuffiness or pain when bending over; our “Sinus Infection” section explains this sneaky cause.
What’s the best treatment for a toothache?
It depends on the cause; fillings work for cavities, root canals for abscesses, and guards for grinding. A dentist can find the best treatment for a toothache based on your symptoms.
